Diseño Digital y Fresado

Tu trabajo será más fácil y eficiente con restauraciones diseñadas y fresadas digitalmente, dando a tus pacientes soluciones precisas y personalizadas que elevan la calidad de tu tratamiento dental.

Envía tu caso 📂

En e.CAM, transformamos sonrisas y ofrecemos soluciones personalizadas de alta calidad para profesionales de la salud dental.

Con una amplia gama de productos y servicios innovadores, somos tu aliado para brindar a tus pacientes la mejor experiencia.

Envía tu caso 📂

Nuestros productos y servicios

Tecnología avanzada que moderniza tu consultorio y mejora la experiencia de tus pacientes

  • Materiales de alta calidad para resultados estéticos excepcionales como: IPS e.max CAD y IPS Empress CAD.

  • Innovación en zirconia para restauraciones altamente estéticas y resistentes, como: IPS e.max Zir CAD Prime, Prime esthetic, entre otros.

  • Planifica y visualiza la sonrisa perfecta para tus pacientes con tecnología digital de última generación.

  • Diagnóstico preciso para garantizar tratamientos personalizados y efectivos.

  • Diseño y fresado de tus guardas para devolverle a tus pacientes características de oclusión funcional.

  • Asegura precisión en procedimientos quirúrgicos con nuestras guías personalizadas.

  • Reproduce modelos exactos para garantizar la precisión en cada tratamiento.

  • Prótesis cómodas y personalizadas para cada paciente.

Soluciones Digitales de Alta Precisión para Restauraciones Dentales

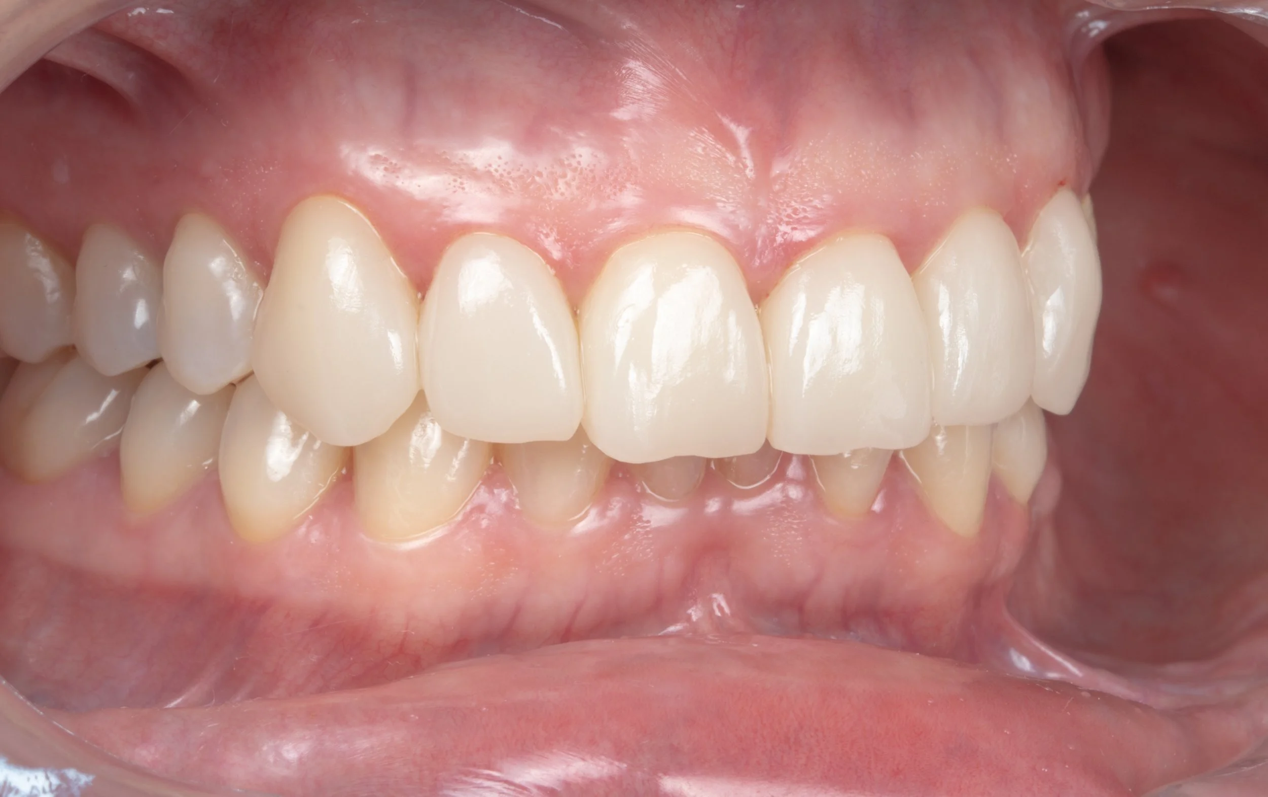
IPS e.max CAD

Paciente que se rehabilito el sector anterior con carillas e.max obteniendo un resultado altamente estético.

  • La Vitroceramica de Disilicato de Litio es conocida por su alta resistencia y translucidez, lo que les permite imitar el aspecto natural de los dientes.

  • Indicadas: coronas totales, carillas, inlays, onlays, hasta puente de 3 unidades.

    530 MPa de resistencia.

    Más de 10 años de durabilidad.

  • Contamos con los colores del A-D, Bleach.

    HT (alta translucidez) y LT (baja translucidez).

IPS Empress CAD

Paciente rehabilitado con carillas anteriores de dicho material.

  • Cerámica vitria reforzada con Leucita con propiedades altamente estéticas.

  • Indicadas para carillas, inlays, onlays.

    Resistencia de 185 MPa.

  • Contamos con los colores del A-D, Bleach.

    HT (alta translucidez), LT (baja translucidez) y multicapa.

Nuestro trabajo impulsa el éxito de tu consultorio dental

eCAM: Líder en Soluciones de Odontología Digital de Vanguardia

En eCAM, nos tomamos la odontología digital muy en serio porque creemos que esta tecnología no solo aumenta la eficiencia en el trabajo clínico y de laboratorio, sino que también mejora los resultados para los pacientes.

Nuestro enfoque en la odontología digital nos permite ofrecer soluciones personalizadas y precisas, garantizando una experiencia cómoda y efectiva para cada paciente.

Envía tu caso 📁